ESC
Biomarker Quantification

Quantitative Biomarker Analysis Across Disease Platforms

Multi-modal biomarker profiling spanning neurodegeneration, immunology, cardiac biology, and oncology — integrating Western blot, flow cytometry, immunofluorescence, ELISA/Luminex, and mass spectrometry–based proteomics for translational drug discovery.

01

Cross-Platform Biomarker Expertise

Comprehensive biomarker quantification across multiple analytical platforms, enabling precise characterization of disease mechanisms and therapeutic response. Integration of complementary technologies provides multi-dimensional insights into cellular and molecular pathology.

6+
Biomarker Platforms
50+
Validated Markers
5
Disease Areas
10+
Quantification Methods
02

Neurodegeneration Biomarker Panel

Comprehensive profiling of α-synuclein pathology, lysosomal dysfunction, autophagy impairment, and dopaminergic neuronal viability in Parkinson's disease models.

Key Biomarkers

  • pS129 α-synuclein (phosphorylated form)
  • Total insoluble α-synuclein
  • TH (Tyrosine Hydroxylase) for dopaminergic neuron viability
  • LAMP1/LAMP2 for lysosomal dysfunction
  • LC3B / p62/SQSTM1 for autophagy flux
  • HDAC6 (aggresome marker)
  • TFEB (lysosomal master regulator)
Pharmacodynamic Biomarker Panel
Dual-Hit PD Model (PFF + IFN-γ)
Receptor-Level Biomarker Validation

Confocal imaging of cytokine receptor expression in iPSC-derived neurons co-cultured with activated microglia and PFF488. Multichannel panels show receptor signal (top), Hoechst nuclear stain, Tuj1 neuronal marker, composite overlay, and magnified insets with arrowheads marking PFF aggregates at neuronal processes.

IFNGR1 and IFNGR2 confocal panels: receptor expression, Hoechst, Tuj1, composite, and inset showing PFF aggregates at neuronal processes
Fig. IFNGR1 & IFNGR2 receptor expression — multichannel confocal panels with PFF488 co-localization
Inclusion Quantification Over Time

Time-resolved phospho-synuclein (pSyn) inclusion growth in TH+ dopaminergic neurons exposed to PFF + IFN-γ over 7, 10, and 14 days. Deconvoluted images with measurements (µm) show progressive inclusion maturation and coalescence, providing quantitative morphometric data for biomarker tracking.

pSyn + TH time course: 7d, 10d, 14d PFF+IFN showing original and deconvoluted inclusions with size measurements
Fig. pS129 α-synuclein inclusion growth — deconvoluted morphometry at 7, 10, and 14 days post dual-hit
Phospho-Synuclein Biomarker Validation

Confocal time course of α-synuclein-HA expressing neurons probed with two independent phospho-synuclein antibodies (phospho S129 and pSyn#64). Control neurons show diffuse cytoplasmic α-syn-HA signal, while IFN-γ–treated neurons develop perinuclear pS129-positive inclusions by day 7, progressively maturing through day 14 — validating the biomarker with orthogonal antibody approaches.

α-syn-HA with phospho S129 and pSyn#64 antibodies: control vs IFN-γ time course showing progressive inclusion formation from 2d to 14d
Fig. Phospho-synuclein biomarker validation — dual antibody time course (pS129 & pSyn#64) in IFN-γ–treated neurons
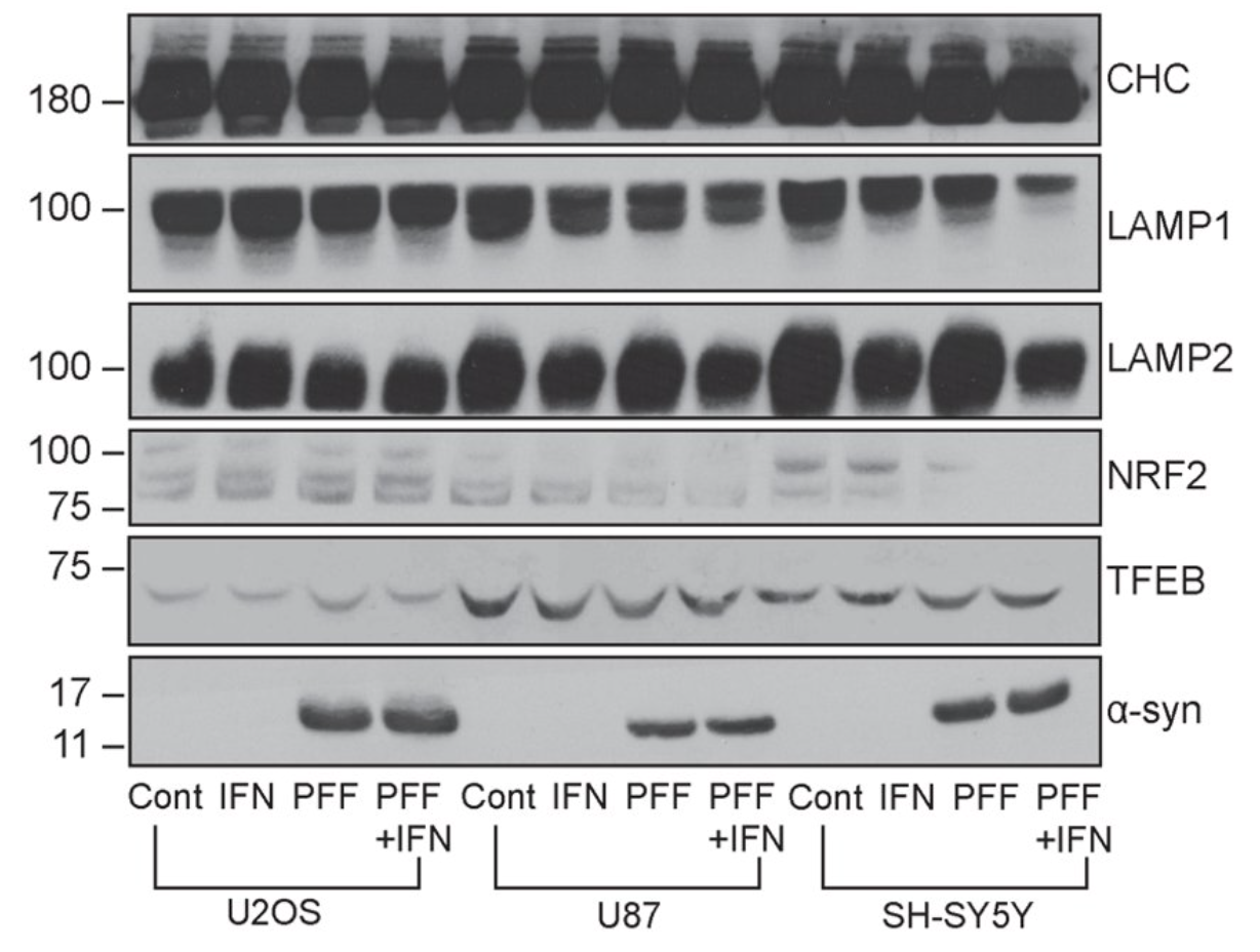
Western Blot Biomarker Panel

Multi-target Western blot panel across three cell lines (U2OS, U87, SH-SY5Y) under control, IFN-γ, PFF, and PFF+IFN conditions. Biomarkers quantified include CHC (clathrin heavy chain), LAMP1, LAMP2, NRF2, TFEB, and α-synuclein — capturing endocytic machinery, lysosomal integrity, oxidative stress response, and protein aggregation state in a single pharmacodynamic readout.

Western blot panel showing CHC, LAMP1, LAMP2, NRF2, TFEB, α-syn across U2OS, U87, SH-SY5Y cell lines
Fig. Pharmacodynamic Western blot panel — CHC, LAMP1, LAMP2, NRF2, TFEB, α-synuclein across cell lines
TH+ Neuron Survival Assessment
Anti-Cytokine Biologics Therapeutic Response
03

Immune & Oncology Biomarker Suite

Comprehensive immunophenotyping of T cell activation, checkpoint receptor expression, cytokine secretion, and immune cell subset composition for cancer immunotherapy assessment.

Key Checkpoint & Cytokine Markers

  • Checkpoint receptors: PD-1, CTLA-4, LAG-3, TIM-3, TIGIT
  • Cytokines: IL-2, IL-6, IL-10, IFN-γ, TNF-α, Granzyme B
  • Cell markers: CD4, CD8, CD3, CD56, CD16, NKG2D, Ki67, CD107a
Cytokine Secretion Profile
Immune Co-Culture with Tumor Cells and PD-1 Blockade
Immune Cell Subset Distribution
Lymph Node vs Spleen Composition
04

Cardiac Biomarker Assessment

Quantitative evaluation of cardiomyocyte-specific proteins, structural integrity, and cell purity for pluripotent stem cell-derived and primary cardiomyocyte characterization.

Key Cardiac Markers

  • cTnT, cTnI (cardiac troponins)
  • α-actinin (sarcomeric structure)
  • LDH (cell viability/damage)
  • Connexin-43 (gap junctions)
  • Vimentin (fibroblast contamination assessment)
Cardiomyocyte Purity & Viability
Quality Control Assessment of iPSC-Derived Cardiomyocytes
05

Quantitative Proteomics & Transcriptomics

Comprehensive proteome-wide and transcriptome-wide biomarker discovery using mass spectrometry and next-generation sequencing technologies, enabling unbiased identification of disease-relevant molecular signatures.

Key Technologies

  • TMT isobaric labeling (6-plex, 10-plex, 16-plex)
  • Match-between-runs (MBR) for enhanced coverage
  • Subcellular fractionation and organellar proteomics
  • Single-cell RNA sequencing (scRNA-seq)
  • Volcano plot and UMAP analysis
TMT Proteomics Platform Coverage
Impact of Multiplexing and Match-Between-Runs

Biomarker Quantification Methods Toolkit

01 Western Blot
Band Intensity Quantification
Subcellular fractionation, phospho-protein analysis, densitometry normalization
02 Flow Cytometry
Multicolor Immunophenotyping
Intracellular staining, viability assessment, gating strategies, compensation
03 Immunofluorescence
Confocal & Super-Resolution
STED super-resolution, high-content screening, colocalization analysis
04 ELISA/Luminex
Multiplex Quantification
Multiplex cytokine quantification, dose-response profiling, EC50 determination
05 Mass Spectrometry
TMT & Label-Free
Isobaric labeling, LC-MS/MS, Orbitrap platforms, subcellular fractionation
06 qPCR
Gene Expression Profiling
Housekeeping normalization, fold-change analysis, qRT-PCR validation