ESC
iPSC Platform

iPSC-Derived Neurons & Cell Models

I specialize in generating iPSC-derived dopaminergic and cortical neurons — from pluripotency through functional maturation — to model Parkinson's disease, Lewy body pathology, and neuroinflammation. My expertise extends across mammalian expression systems, co-culture models, and diverse lineage differentiation.

iPSC Differentiation Dopaminergic Neurons Cortical Neurons Endodermal Lineages CHO/HEK Expression Co-Culture Systems MEA Electrophysiology Primary Cells & PBMCs
01

iPSC Maintenance, Expansion & Differentiation

My iPSC culturing, maintenance, and differentiation training was done in association with the EDDU at McGill, generating some of the most homogenous cultures in the world. iPSCs from 9 different donors were used for modeling Parkinson's disease pathology. I have generated and banked over 20 different iPSC cell lines.

Differentiation spans ectodermal lineages (dopaminergic, cortical/excitatory neurons, astrocytes, microglia-like cells) and endodermal lineages (hepatic, lung/epithelial, gut, beta islet), in both adherent and suspension culture formats. Neuronal maturation requires 4–6 weeks to achieve full dopaminergic identity (DAT, GIRK2) or cortical maturity (VGLUT1, GABA).

iPSC differentiation protocol diagram
Schematic of iPSC differentiation pathways to dopaminergic, cortical, and other neuronal lineages, showing protocol timeline and key developmental stages.
Dopaminergic Neuron Characterization & QC

Following differentiation, I characterize neuronal identity via antibody profiling (ICC), qPCR, and flow cytometry. Electrical activity is confirmed using microelectrode arrays (MEAs) for spontaneous firing patterns and waveform analysis. I have also performed HPLC-based quantification of dopamine and metabolites from culture media to link biochemical outputs to functional phenotypes.

iPSC Differentiation Lineage Map
Pluripotent stem cells directed through ectodermal, mesodermal, and endodermal germ layers into disease-relevant cell types for modeling and screening.
PLURIPOTENT iPSC 9 donor lines banked ECTODERM Neural Progenitors MESODERM Cardiac Progenitors ENDODERM Definitive Endoderm DA Neurons TH⁺ GIRK2⁺ · 4–6 wk Cortical Neurons VGLUT1⁺ GABA⁺ Astrocytes GFAP⁺ S100β⁺ Microglia-like IBA1⁺ CX3CR1⁺ Cardiomyocytes cTnT⁺ · GiWi protocol Macrophages CD14⁺ CD68⁺ Hepatocytes ALB⁺ · ADME/Tox Lung Epithelial ACE2⁺ · Infection models β-Islet Cells INS⁺ · Diabetes models DISEASE MODELING Parkinson's · Alzheimer's HCM · DCM · Arrhythmia DRUG DISCOVERY Parkin Agonists · TAC · PAH Cardiotoxicity · Antivirals FUNCTIONAL ASSAYS MEA · Calcium · Imaging FLIPR · Impedance · HCS CO-CULTURE & IMMUNE Neuron–Glia · T-cell Killing PBMC · CAR-T · ADCC
Ectodermal
Mesodermal
Endodermal
Application
ICC characterization panel: DAT, GIRK2, Neurofilament 160kD, TH with Hoechst, MAP2, and composite overlays in iPSC-derived DA neurons
Immunocytochemistry panel confirming dopaminergic identity via DAT, GIRK2, Neurofilament 160kD, and TH with DAPI, MAP2, and composite overlays. From Bayati et al., Nature Neuroscience 2024.
RT-qPCR — Dopaminergic Neuron Gene Expression

RT-qPCR quantification confirms cell-type identity and treatment response at the transcriptional level. Expression is normalized to housekeeping genes (GAPDH, ACTB) and presented as fold change relative to undifferentiated or untreated controls. Error bars represent SEM from n=3 biological replicates.

RT-qPCR: Dopaminergic Marker Expression
Fold change in DA neuron markers at DIV 42 vs undifferentiated iPSCs (GAPDH-normalized)
ΔΔCt method. n=3 biological replicates per line. *p<0.05, **p<0.01 vs iPSC. Housekeeping: GAPDH, ACTB.
RT-qPCR Expression Heatmap
Relative gene expression across conditions (log₂ fold change)
Color intensity: red = upregulated, blue = downregulated relative to control. Values are log₂(fold change).
Electrophysiology & Calcium Imaging

I confirm neuronal identity and functional maturity using microelectrode array (MEA) recordings and calcium imaging. MEA captures spontaneous electrical activity, burst frequency, and network synchrony across neuronal subtypes. Calcium imaging with Fluo-4 or GCaMP reporters reveals spontaneous and evoked calcium transients in real time.

MEA raster plot with spike waveforms across dopaminergic and cortical neurons
Microelectrode array (MEA) raster plot showing spontaneous spike waveforms across dopaminergic and cortical neurons at DIV 42.
Fig. — MEA: Firing Rate Across Neuronal Subtypes
Mean firing rate and burst frequency in iPSC-derived DA, cortical, and excitatory neurons at DIV 42
Axion Maestro MEA. 5-min recording. n=6 wells per condition.
Calcium imaging stills — Fluo-4 fluorescence in DA neurons showing spontaneous transients
Calcium imaging fluorescence traces (Fluo-4) revealing spontaneous and KCl-evoked transients in iPSC-derived dopaminergic neurons.
Fig. — Calcium Imaging: Spontaneous & Evoked Transients
ΔF/F₀ traces from iPSC-derived DA neurons — spontaneous activity and KCl-evoked depolarization
Fluo-4 AM, confocal time-lapse. KCl (50 mM) applied at t=60s. 3 representative ROIs.
Fig. — HPLC Dopamine Quantification
Dopamine and DOPAC levels in iPSC-derived DA neurons ± L-DOPA treatment across PD and non-PD lines
iPSC-derived DA neurons from PD (SNCA Trip, GBA-N370S) and non-PD control lines. Conditioned media collected at DIV 42.
+

Detailed Methodology & Techniques

Comprehensive descriptions of key experimental techniques, assay platforms, and analytical methods referenced throughout this page.

Cortical Neuron Differentiation

I differentiate iPSCs into cortical excitatory neurons using dual-SMAD inhibition followed by Wnt modulation, yielding VGLUT1+/TBR1+ glutamatergic neurons by DIV 35–42. These cultures serve as critical controls for dopaminergic-selective vulnerability studies and are used in network-level MEA recordings to assess excitatory synaptic transmission.

Cortical neurons are validated by immunocytochemistry for CTIP2, SATB2, BRN2 (layer markers) and VGLUT1, PSD-95 (synaptic markers). Under identical dual-hit conditions (PFF + IFN-γ), cortical neurons do not form Lewy body–like inclusions — highlighting cell-type–specific vulnerability.

Fig. — Cortical Neuron Marker Expression
ICC quantification of cortical markers at DIV 28 vs DIV 42 (n=4 wells per timepoint)
Quantified by automated high-content imaging (Opera Phenix). Error bars represent SEM.
Endodermal Lineages

Beyond neuronal lineages, I differentiate iPSCs into endodermal derivatives including hepatocyte-like cells, lung epithelial cells, intestinal organoids, and pancreatic beta islet–like cells. Protocols use Activin A–driven definitive endoderm induction followed by lineage-specific growth factor cocktails.

Hepatic differentiation yields albumin-secreting, CYP3A4-active hepatocyte-like cells suitable for drug metabolism and toxicity screening. Lung epithelial cultures express ACE2 and TMPRSS2, enabling SARS-CoV-2 infection modeling.

Fig. — Endodermal Lineage Marker Profiles
Marker expression across hepatic, lung, and gut/islet differentiation at endpoint
Flow cytometry and qPCR. n=3 independent differentiations per lineage.
02

Mammalian Expression Systems

I operate CHO and HEK293 expression platforms for recombinant protein production, lentiviral generation, and translational initiatives. This includes suspension CHO workflows (transfection → pool evaluation → clone → expression characterization → pre-banking assessment), screening funnel design, expression benchmarking, and 5 L single-use bioreactor operation.

I design and optimize expression vectors including promoter selection, signal peptide configuration, and construct architecture. Process characterization includes density-dependent productivity studies, time-course expression kinetics, and nutrient-sensitive viability shifts.

03

Lewy Body Formation: Modeling Parkinson's Pathogenesis

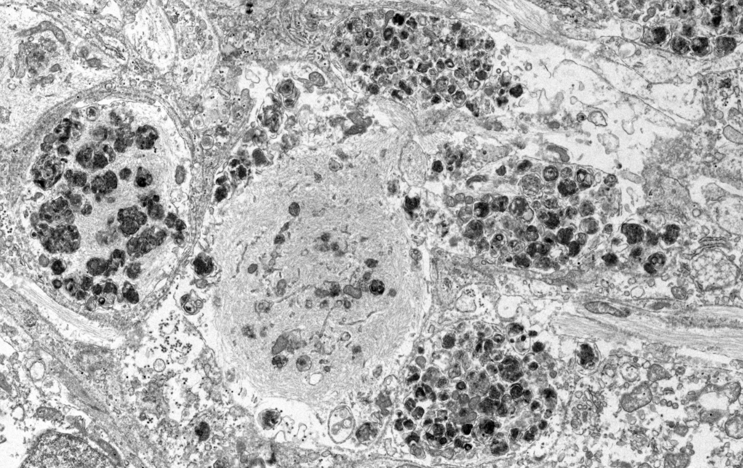
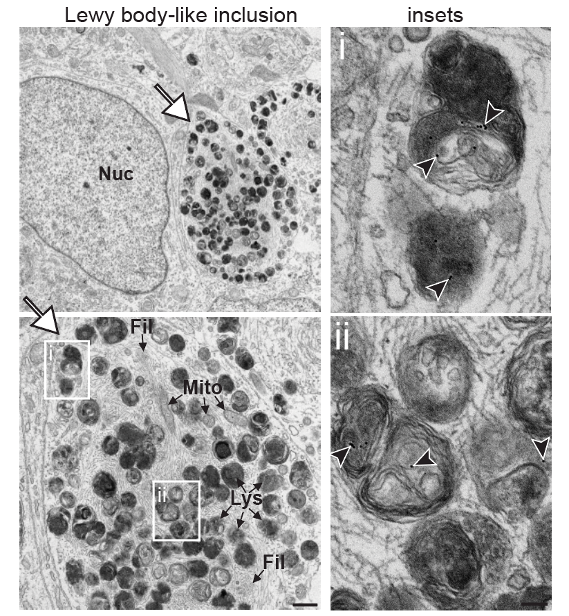
I developed a dual-hit model of Parkinson's disease in iPSC-derived dopaminergic neurons, published as a first-author paper in Nature Neuroscience (2024). Sequential exposure to α-synuclein preformed fibrils (PFFs) followed by proinflammatory cytokines (IFN-γ) drives formation of Lewy body–like inclusions — 5–10 µm membrane-bound perinuclear structures containing fibrils, damaged lysosomes, mitochondria, and filamentous material. These inclusions form in 15–20% of DA neurons over 14 days, are ThS-positive (amyloid-containing), and are phospho-α-synuclein–enriched — closely resembling patient-tissue Lewy bodies by EM.

Dual-Hit Neurodegeneration Model
A two-insult paradigm combining α-synuclein pre-formed fibrils (PFFs) with interferon-γ to recapitulate inflammatory Lewy body pathology in iPSC-derived dopaminergic neurons.
1
HIT 1 — PROTEOPATHIC SEED
α-Synuclein Pre-Formed Fibrils (PFFs)
Sonicated recombinant fibrils that seed endogenous α-synuclein aggregation via macropinocytic uptake. Fibrils bypass early endosomes and accumulate in lysosomes within 2 minutes, triggering lysosomal dysfunction and Lewy-like inclusion formation.
2
HIT 2 — NEUROINFLAMMATORY INSULT
Interferon-γ (IFN-γ)
Pro-inflammatory cytokine that activates JAK/STAT signaling, upregulates MHC-I, and disrupts autophagy flux. When combined with PFFs, IFN-γ dramatically accelerates α-synuclein pathology, collapses the autophagy-lysosomal pathway, and drives neuronal death.
Day 0
PFF Addition
Sonicated fibrils added to mature DA neurons
Day 1
IFN-γ Addition
10 ng/mL inflammatory insult
Day 7
Early Pathology
pS129⁺ puncta visible; lysosomal stress begins
Day 14
Inclusion Growth
Thioflavin S⁺ amyloid cores; autophagy collapse
Day 21
Mature Pathology
Lewy body–like inclusions; neuronal death
Day 21+
Drug Window
PAH / Parkin agonist rescue experiments
Multi-Readout Validation Endpoints
Pathology
Inclusion Quantification
pS129, ThioS, ubiquitin ICC + confocal
Lysosomal
ALP Integrity
LAMP1, LAMP2, TFEB, Galectin-3 WB
Autophagy
Flux Monitoring
LC3B, p62/SQSTM1, HDAC6 WB
Stress
ISR & Senescence
ATF4, ATF3, SA-β-gal, ROS
Viability
Cell Death Markers
LDH, Caspase-3/7, CellTiter-Glo
Proteomics
TMT Mass Spec
Subcellular fractionation + pathway analysis
Prion-like α-Synuclein Propagation Pathway
Pre-formed fibrils (PFFs) enter neurons via macropinocytosis, traffic through the endolysosomal system, and propagate to neighboring cells via exosomal release — a key therapeutic intervention axis.
01 · Binding
Membrane Engagement
Cell Surface
Exogenous α-synuclein PFFs bind to cell-surface heparan sulfate proteoglycans (HSPGs) and lipid rafts. Spike–ACE2 receptor engagement uses clathrin-mediated endocytosis.
t = 0 min
02 · Entry
Macropinocytosis
Plasma Membrane
PFFs are internalized via macropinocytic ruffles, bypassing classical clathrin and caveolar routes. Confirmed by EIPA and Latrunculin B inhibition.
✕ EIPA ✕ LatB
t = 0–2 min
03 · Trafficking
Lysosomal Accumulation
Endolysosomal System
PFFs bypass early endosomes and reach LAMP1⁺ lysosomes within 2 min. Nanogold EM tracing confirms rapid transit. Fibrils resist degradation and accumulate, causing lysosomal dysfunction.
t = 2 min → accumulation
04 · Seeding
Lewy-like Inclusions
Cytoplasm
Fibril seeds recruit endogenous α-synuclein, forming pS129⁺ Lewy-like inclusions. Thioflavin S⁺ amyloid cores form over 14–21 days. Dual-hit (PFF + IFN-γ) dramatically accelerates pathology.
t = 7–21 days
05 · Spread
Exosomal Propagation
MVB → Extracellular
CD63⁺ multivesicular bodies (MVBs) package fibrils into exosomes for cell-to-cell transmission. EM gold-labeled exosomes confirmed transfer to naïve neurons — the prion-like spread mechanism.
Continuous propagation
< 2 min
PFF → Lysosome transit
Bypassed
Early endosome route
14–21 d
Inclusion maturation
CD63⁺
Exosome-mediated spread

Critically, cortical neurons do not form inclusions under the same conditions, reflecting the selective vulnerability of DA neurons. IFN-γ specifically downregulates LAMP1, LAMP2, TFEB, and NRF2 in DA neurons, impairing the autophagy-lysosomal pathway. LAMP2 knockdown or GBA knockout alone is sufficient to trigger inclusion formation without immune challenge, establishing lysosomal dysfunction as the central vulnerability. Co-culture with activated microglia accelerates pathology, while astrocyte co-culture is protective.

Schematic of Parkinson's disease dual-hit model: microglia activation, cytokine release, PFF entry via endocytosis, lysosomal dysfunction, and Lewy body-like inclusion formation
Schematic of the dual-hit Parkinson's disease model: microglia activation, cytokine release, α-synuclein PFF uptake via macropinocytosis, lysosomal dysfunction, and formation of membrane-bound Lewy body–like inclusions.

Dual-hit pathological cascade: Activated microglia release proinflammatory cytokines (IFN-γ, TNF, IL-1β) that compromise lysosomal function in DA neurons. Exogenous α-synuclein PFFs enter via macropinocytosis, accumulate in dysfunctional lysosomes, seed endogenous α-synuclein, and drive formation of 5–10 µm membrane-bound Lewy body–like inclusions containing fibrils, damaged mitochondria, and disrupted organelles. From Bayati et al., Nature Neuroscience 2024.

04

Neuronal Co-Cultures & Immune Models

I co-cultured iPSC-derived dopaminergic neurons with activated microglia-like cells and human astrocytes. Microglia secreting IFN-γ, IL-1β, and TNF accelerated α-synuclein inclusions, while astrocyte co-culture reduced accumulation. I also established immune-mediated killing/immune-target co-culture assays using PBMCs, T-cells, and B-cells, quantifying immune-driven target-cell loss and cytokine signaling via flow cytometry and immunoassay readouts.

Cell Model Pipeline

01
iPSC Expansion & Banking
20+ iPSC lines, QC (pluripotency, mycoplasma, karyotype), cryopreservation.
02
Differentiation
Dopaminergic, cortical, glial, hepatic, lung, gut, beta islet lineages.
03
Characterization
ICC, qPCR, flow cytometry, MEA, HPLC dopamine quantification.
04
Disease Induction
Dual-hit (PFF + cytokine), genetic perturbation, co-culture, drug treatment.