ESC
Imaging

Advanced Microscopy & Histology

I use advanced microscopy — from live-cell confocal to STED super-resolution, electron microscopy, and high-content platforms — as primary discovery tools to uncover mechanisms in neurodegeneration and infection.

Confocal (Leica) Zeiss Airyscan STED (Abberior) TIRF (Nikon) TEM (Tecnai) CLEM Opera Phenix HCS Incucyte IHC / RNAscope
01

Confocal, Super-Resolution & Live-Cell

I perform confocal microscopy (Leica) for live and fixed samples, tracking rapid uptake of α-synuclein fibrils and spike protein internalization. STED microscopy (Abberior) resolves sub-lysosomal fibril localization. Zeiss Airyscan provides super-resolution for directional transport and spatial redistribution studies. TIRF (Nikon) for membrane-proximal events. Live-cell imaging captures dynamic processes: fibril internalization, lysosomal swelling, mitochondrial fragmentation, and Parkin translocation.

02

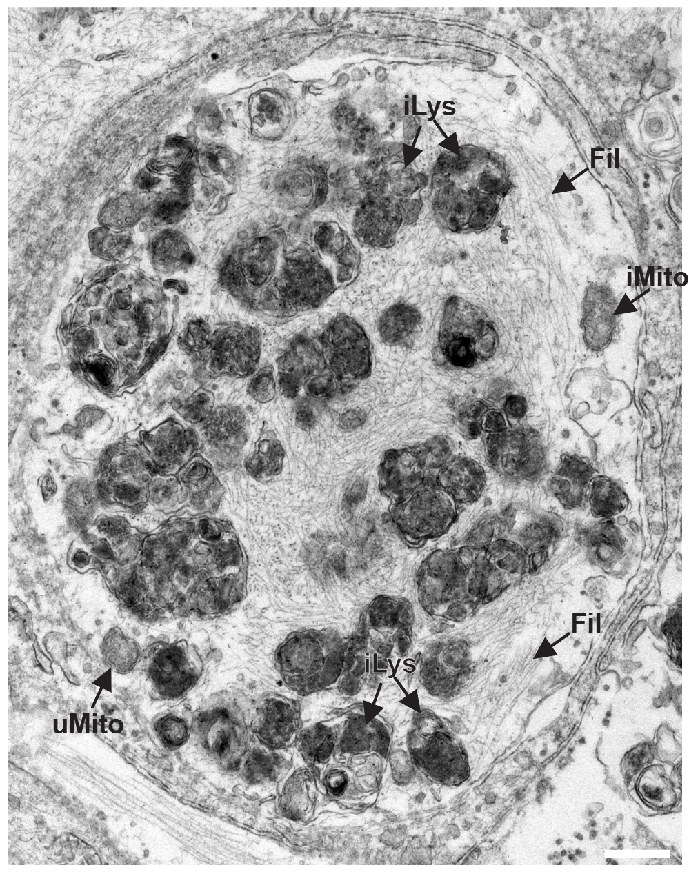
Transmission Electron Microscopy

I provided the first ultrastructural evidence of Lewy body–like pathology developing in human neurons in vitro. Inclusions were 5–10 µm, membrane-bound, and perinuclear. Nanogold-labeled fibrils enabled antibody-free visualization of trafficking through macropinosomes, MVBs, and lysosomes. Negative-stain EM for protein aggregation and stability assessment. Correlative light-electron microscopy (CLEM) linking ultrastructure to molecular readouts.

03

Histology, IHC & Tissue Biology

Immunohistochemistry (IHC) assay development including antibody validation, antigen retrieval optimization, chromogenic (DAB) IHC, and multiplex immunostaining. Quantitative scoring (H-score, percent-positive, intensity thresholds). Tissue handling: cryosectioning, FFPE sectioning, section handling and storage. RNA in situ validation using FISH/RNAscope. Experience with postmortem human tissue and rare sample handling.

04

High-Content Screening & Quantitative Phenotyping

I develop and execute high-content imaging assays on Opera Phenix and Incucyte platforms for pharmacological and genetic perturbation screening. Cell painting dyes (LysoTracker, Hoechst, MitoTracker, Cell Mask) enable multiplexed phenotypic readouts across 96- and 384-well formats.

Fig. — High-Content Screening: Inclusion Burden Distribution
α-Synuclein inclusion area per cell across compound library — Opera Phenix, 384-well
Z' = 0.62. Red dashed line = hit threshold (3σ below DMSO mean). Compounds below threshold flagged as hits.
Fig. — Seed Amplification Assay (SAA/RT-QuIC)
Thioflavin T fluorescence kinetics — α-synuclein seeding from patient CSF and iPSC-derived neuron lysates
ThT fluorescence monitored over 120h. Positive = patient CSF with confirmed PD. iPSC lysates from dual-hit model.
Thioflavin S staining of α-synuclein inclusions in iPSC-derived neurons
Thioflavin S fluorescence assay quantifying amyloid-like β-sheet content in α-synuclein inclusions across treatment conditions and timepoints.
Antibody profiling panels: Rab marker comparison and EEA1 vs LAMP1 colocalization
Western blot panel of α-synuclein antibodies (pSyn129, pSyn87, pSyn181, total α-syn) profiling phosphorylation patterns in wild-type vs diseased neurons.
+

Detailed Methodology & Techniques

Comprehensive descriptions of key experimental techniques, assay platforms, and analytical methods referenced throughout this page.

Zeiss Airyscan Super-Resolution

I use the Zeiss LSM 880/980 Airyscan detector for ~120 nm lateral resolution imaging (1.7× improvement over standard confocal). Applications include α-synuclein fibril morphology, synaptic vesicle colocalization, and organelle contact site imaging. Airyscan provides the resolution enhancement of structured illumination with the optical sectioning of confocal, making it ideal for thick specimens like iPSC-derived neuronal cultures.

Resolution Comparison Across Imaging Modalities
Lateral resolution (nm) achievable by each microscopy platform
Values represent typical achievable lateral resolution. Confocal: ~200 nm, Airyscan: ~120 nm, STED: ~50 nm, TIRF: ~100 nm (axial).
STED Nanoscopy

I perform STED (Stimulated Emission Depletion) nanoscopy on the Abberior platform at ~40–60 nm resolution. This enables visualization of protein nanodomains, receptor clustering, and cytoskeletal ultrastructure that are unresolvable by confocal. I have applied STED to image phospho-α-synuclein aggregates within single lysosomes and to resolve individual synaptic active zones in iPSC-derived neurons.

STED: α-Synuclein Aggregate Size Distribution
Aggregate diameters measured by STED vs confocal imaging in iPSC-DA neurons
n=150 aggregates per condition. STED resolves sub-diffraction structures masked in confocal imaging.
TIRF Microscopy

I operate the Nikon TIRF system for single-molecule and near-membrane imaging with ~100 nm axial resolution. TIRF selectively excites fluorophores within the evanescent wave (~100–200 nm from the coverslip), eliminating out-of-focus background. Applications include membrane receptor dynamics, exocytosis/endocytosis events, α-synuclein fibril–membrane interactions, and single-particle tracking of tagged proteins.

TIRF: Membrane Binding Events Over Time
α-Synuclein fibril–membrane binding events per field of view in control vs PFF-treated neurons
Nikon TIRF. 100× objective, 488 nm excitation. Events counted per 100 µm² ROI over 5-minute recording.
Correlative Light-Electron Microscopy

I perform correlative light and electron microscopy (CLEM) to bridge fluorescence imaging with ultrastructural EM. Cells are first imaged by confocal for fluorescent markers (e.g., GFP-LC3, pSyn-488), then processed for transmission EM. Grid-mapped coordinates enable identification of the same cell across modalities. I used CLEM to demonstrate that fluorescent α-synuclein inclusions correspond to membrane-bound, fibril-containing Lewy body–like structures at the EM level.

CLEM: Inclusion Body Classification
Ultrastructural characterization of fluorescent pSyn+ inclusions by EM
n=48 CLEM-correlated inclusions across 3 independent experiments. PFF+IFN-γ treated iPSC-DA neurons.
IncuCyte Live-Cell Analysis

I operate the Sartorius IncuCyte S3/SX5 for continuous, label-free or fluorescence-based live-cell monitoring inside the incubator. Applications include cell proliferation (phase confluence), cytotoxicity (Cytotox Green/Red), apoptosis (Annexin V-488), neurite outgrowth (NeuroTrack), and immune killing (co-culture real-time lysis). I routinely run 96/384-well plates with 4-hour scan intervals over 7–14 days for longitudinal compound studies.

IncuCyte: Live-Cell Confluence & Cytotoxicity
Phase confluence (%) and Cytotox Green intensity over 7 days across treatment conditions
IncuCyte SX5. 96-well plate, 4-hour scan interval. n=6 wells/condition. Cytotox Green quantifies dead cells.

Imaging Platforms

01
High-Content
Opera Phenix HCS, Incucyte for 96/384-well phenotypic screening and time-lapse acquisition.
02
Super-Resolution
Abberior STED, Zeiss Airyscan, SIM for sub-diffraction organelle analysis.
03
Electron Microscopy
Tecnai TEM, negative-stain EM, nanogold labeling, CLEM workflows.
04
Tissue Imaging
IHC, immunostaining, RNAscope/FISH, cryosectioning, FFPE, pathology-facing reporting.